Skip to main content

26S proteasome subunit 9 Antibody - BSA Free

Novus Biologicals, part of Bio-Techne | Catalog # NBP3-05933

Catalog #
Availability
Size / Price
Qty
Loading...
NBP3-05933-100ul
NBP3-05933-50ul
Conjugate
Catalog #

Key Product Details

Species Reactivity

Human

Applications

Immunohistochemistry, Immunohistochemistry-Paraffin, Western Blot, Immunoprecipitation

Label

Unconjugated

Antibody Source

Polyclonal Rabbit IgG

Format

BSA Free

Concentration

Please see the vial label for concentration. If unlisted please contact technical services.

Product Specifications

Immunogen

Produced in rabbits immunized with E. coli-derived Human 26S proteasome subunit 9 fragment.

Clonality

Polyclonal

Host

Rabbit

Isotype

IgG

Description

This antibody can be stored at 2C-8C for one month without detectable loss of activity. Antibody products are stable for twelve months from date of receipt when stored at -20C to -80C. Avoid repeated freeze-thaw cycles.

Scientific Data Images for 26S proteasome subunit 9 Antibody - BSA Free

Western Blot: 26S proteasome subunit 9 Antibody [NBP3-05933]

Western Blot: 26S proteasome subunit 9 Antibody [NBP3-05933]

Western Blot: 26S proteasome subunit 9 Antibody [NBP3-05933] - Lane A: HeLa Whole Cell LysateLane B: Jurkat Whole Cell LysateLysates/proteins at 30 ug per lane.SecondaryGoat Anti-Rabbit IgG (H+L)/HRP at 1/10000 dilution.Developed using the ECL technique.Performed under reducing conditions.Predicted band size:25 kDaObserved band size:28 kDa(We are unsure as to the identity of these extra bands.)
Immunohistochemistry-Paraffin: 26S proteasome subunit 9 Antibody [NBP3-05933]

Immunohistochemistry-Paraffin: 26S proteasome subunit 9 Antibody [NBP3-05933]

Immunohistochemistry-Paraffin: 26S proteasome subunit 9 Antibody [NBP3-05933] - Staining of human PSMD9 in human kidney with rabbit polyclonal antibody at 1:100 dilution.
Immunohistochemistry-Paraffin: 26S proteasome subunit 9 Antibody [NBP3-05933]

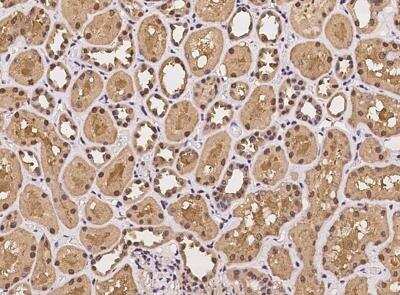
Immunohistochemistry-Paraffin: 26S proteasome subunit 9 Antibody [NBP3-05933]

Immunohistochemistry-Paraffin: 26S proteasome subunit 9 Antibody [NBP3-05933] - Staining of human PSMD9 in human liver with rabbit polyclonal antibody at 1:100 dilution.

Applications for 26S proteasome subunit 9 Antibody - BSA Free

Application
Recommended Usage

Immunohistochemistry-Paraffin

1:50-1:200

Immunoprecipitation

1-5uL/mg of lysate

Western Blot

1:500-1:2000

Formulation, Preparation, and Storage

Purification

Antigen and protein A Affinity-purified

Formulation

PBS

Format

BSA Free

Preservative

0.03% Proclin 300

Concentration

Please see the vial label for concentration. If unlisted please contact technical services.

Shipping

The product is shipped with polar packs. Upon receipt, store it immediately at the temperature recommended below.

Stability & Storage

Store at 4C short term. Aliquot and store at -20C long term. Avoid freeze-thaw cycles.

Background: 26S proteasome subunit 9

Alternate Names

26S proteasome non-ATPase regulatory subunit 9, p27, proteasome (prosome, macropain) 26S subunit, non-ATPase, 9, Rpn4

Gene Symbol

PSMD9

Additional 26S proteasome subunit 9 Products

Product Documents for 26S proteasome subunit 9 Antibody - BSA Free

Certificate of Analysis

To download a Certificate of Analysis, please enter a lot number in the search box below.

Product Specific Notices for 26S proteasome subunit 9 Antibody - BSA Free

This product is for research use only and is not approved for use in humans or in clinical diagnosis. Primary Antibodies are guaranteed for 1 year from date of receipt.

Loading...
Loading...
Loading...
Loading...