Skip to main content

14-3-3 sigma/Stratifin Antibody - BSA Free

Novus Biologicals, part of Bio-Techne | Catalog # NBP1-80610

Novus Biologicals, part of Bio-Techne
Catalog #
Availability
Size / Price
Qty
Loading...
NBP1-80610
NBP1-80610-25ul

Key Product Details

Validated by

Orthogonal Validation

Species Reactivity

Validated:

Human, Mouse, Rat

Cited:

Mouse

Applications

Validated:

Immunohistochemistry, Immunohistochemistry-Paraffin, Western Blot, Immunocytochemistry/ Immunofluorescence

Cited:

Immunohistochemistry-Paraffin, Immunohistochemistry-Frozen

Label

Unconjugated

Antibody Source

Polyclonal Rabbit IgG

Format

BSA Free

Concentration

Concentrations vary lot to lot. See vial label for concentration. If unlisted please contact technical services.

Product Specifications

Immunogen

This antibody was developed against Recombinant Protein corresponding to amino acids: LSVAYKNVVGGQRAAWRVLSSIEQKSNEEGSEEKGPEVREYREKVETELQGVCDTVLGLLDSHLIKEAGDAESRVFYLKMKGDYYRYLAEVATGDDKKRIIDSARSAYQEAMDISKKEMP

Clonality

Polyclonal

Host

Rabbit

Isotype

IgG

Description

Novus Biologicals Rabbit 14-3-3 sigma/Stratifin Antibody - BSA Free (NBP1-80610) is a polyclonal antibody validated for use in IHC, WB and ICC/IF. Anti-14-3-3 sigma/Stratifin Antibody: Cited in 2 publications. All Novus Biologicals antibodies are covered by our 100% guarantee.

Scientific Data Images for 14-3-3 sigma/Stratifin Antibody - BSA Free

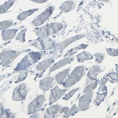
Immunohistochemistry-Paraffin: 14-3-3 sigma/Stratifin Antibody [NBP1-80610]

Immunohistochemistry-Paraffin: 14-3-3 sigma/Stratifin Antibody [NBP1-80610]

Immunohistochemistry-Paraffin: 14-3-3 sigma/Stratifin Antibody [NBP1-80610] - Staining in human skin and skeletal muscle tissues using anti-SFN antibody. Corresponding SFN RNA-seq data are presented for the same tissues.
Western Blot: 14-3-3 sigma/Stratifin Antibody [NBP1-80610]

Western Blot: 14-3-3 sigma/Stratifin Antibody [NBP1-80610]

Western Blot: 14-3-3 sigma/Stratifin Antibody [NBP1-80610] - Analysis in human cell lines A-431 and SK-MEL-30. Corresponding RNA-seq data are presented for the same cell lines. Loading control: Anti-HSP90B1.
Immunocytochemistry/ Immunofluorescence: 14-3-3 sigma/Stratifin Antibody [NBP1-80610]

Immunocytochemistry/ Immunofluorescence: 14-3-3 sigma/Stratifin Antibody [NBP1-80610]

Immunocytochemistry/Immunofluorescence: 14-3-3 sigma/Stratifin Antibody [NBP1-80610] - Staining of human cell line A-431 shows localization to cytosol. Antibody staining is shown in green.

Applications for 14-3-3 sigma/Stratifin Antibody - BSA Free

Application
Recommended Usage

Immunocytochemistry/ Immunofluorescence

0.25-2 ug/ml

Immunohistochemistry

1:200 - 1:500

Immunohistochemistry-Paraffin

1:200 - 1:500

Western Blot

0.04-0.4 ug/ml
Application Notes
For IHC-Paraffin, HIER pH 6 retrieval is recommended. ICC/IF, Fixation Permeabilization: PFA/Triton X-100

Formulation, Preparation, and Storage

Purification

Affinity purified

Formulation

PBS (pH 7.2) and 40% Glycerol

Format

BSA Free

Preservative

0.02% Sodium Azide

Concentration

Concentrations vary lot to lot. See vial label for concentration. If unlisted please contact technical services.

Shipping

The product is shipped with polar packs. Upon receipt, store it immediately at the temperature recommended below.

Stability & Storage

Store at 4C short term. Aliquot and store at -20C long term. Avoid freeze-thaw cycles.

Background: 14-3-3 sigma

14-3-3 sigma was identified as an epithelial cell marker. It is part of the 14-3-3 family of proteins in which seven isoforms have been identified: beta, zeta, gamma, eta, epsilon, tau, and sigma. 14-3-3 proteins function as adaptors that bind with a number of partners to mediate various signaling pathways. 14-3-3 sigma is also called stratifin or HME1 and appears to function as a tumor suppressor whose expression can be downregulated via methylation. Loss of 14-3-3 sigma expression results in a defective G2/M phase checkpoint and appears to contribute to both epithelial and non-epithelial tumorigenesis. Alternate names for 14-3-3 sigma include epithelial marker protein 1, SFN and YWHAS.

Alternate Names

1433 sigma, Epithelial cell marker protein 1, SFN, YWHAS

Entrez Gene IDs

2810 (Human)

Gene Symbol

SFN

UniProt

Additional 14-3-3 sigma Products

Product Documents for 14-3-3 sigma/Stratifin Antibody - BSA Free

Certificate of Analysis

To download a Certificate of Analysis, please enter a lot number in the search box below.

Product Specific Notices for 14-3-3 sigma/Stratifin Antibody - BSA Free

This product is for research use only and is not approved for use in humans or in clinical diagnosis. Primary Antibodies are guaranteed for 1 year from date of receipt.

Loading...
Loading...
Loading...
Loading...