Skip to main content

12-Lipoxygenase Antibody (OTI1C3)

Novus Biologicals, part of Bio-Techne | Catalog # NBP2-46512

Novus Biologicals, part of Bio-Techne

Key Product Details

Species Reactivity

Validated:

Human, Mouse

Cited:

Human

Applications

Validated:

Immunohistochemistry, Immunohistochemistry-Paraffin, Western Blot

Cited:

Western Blot

Label

Unconjugated

Antibody Source

Monoclonal Mouse IgG1 Clone # OTI1C3

Concentration

1 mg/ml

Product Specifications

Immunogen

Full length human recombinant protein of human ALOX12 (NP_000688) produced in HEK293T cell.

Reactivity Notes

Please note that this antibody is reactive to Mouse and derived from the same host, Mouse. Mouse-On-Mouse blocking reagent may be needed for IHC and ICC experiments to reduce high background signal. You can find these reagents under catalog numbers PK-2200-NB and MP-2400-NB. Please contact Technical Support if you have any questions.

Clonality

Monoclonal

Host

Mouse

Isotype

IgG1

Theoretical MW

75.5 kDa.
Disclaimer note: The observed molecular weight of the protein may vary from the listed predicted molecular weight due to post translational modifications, post translation cleavages, relative charges, and other experimental factors.

Description

Novus Biologicals Mouse 12-Lipoxygenase Antibody (OTI1C3) (NBP2-46512) is a monoclonal antibody validated for use in IHC and WB. Anti-12-Lipoxygenase Antibody: Cited in 1 publication. All Novus Biologicals antibodies are covered by our 100% guarantee.

Scientific Data Images for 12-Lipoxygenase Antibody (OTI1C3)

Western Blot: 12-Lipoxygenase Antibody (OTI1C3) [NBP2-46512]

Western Blot: 12-Lipoxygenase Antibody (OTI1C3) [NBP2-46512]

Western Blot: 12-Lipoxygenase Antibody (1C3) [NBP2-46512] - Analysis of HEK293T cells were transfected with the pCMV6-ENTRY control (Left lane) or pCMV6-ENTRY 12-Lipoxygenase.
Immunohistochemistry-Paraffin: 12-Lipoxygenase Antibody (OTI1C3) [NBP2-46512]

Immunohistochemistry-Paraffin: 12-Lipoxygenase Antibody (OTI1C3) [NBP2-46512]

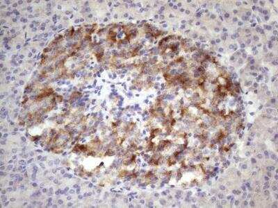
Immunohistochemistry-Paraffin: 12-Lipoxygenase Antibody (1C3) [NBP2-46512] - Analysis of Human pancreas tissue. (Heat-induced epitope retrieval by 1 mM EDTA in 10mM Tris, pH8.5, 120C for 3min)
Immunohistochemistry-Paraffin: 12-Lipoxygenase Antibody (OTI1C3) [NBP2-46512]

Immunohistochemistry-Paraffin: 12-Lipoxygenase Antibody (OTI1C3) [NBP2-46512]

Immunohistochemistry-Paraffin: 12-Lipoxygenase Antibody (1C3) [NBP2-46512] - Analysis of Human lung tissue. (Heat-induced epitope retrieval by 1 mM EDTA in 10mM Tris, pH8.5, 120C for 3min)

Applications for 12-Lipoxygenase Antibody (OTI1C3)

Application
Recommended Usage

Immunohistochemistry

1:150

Immunohistochemistry-Paraffin

1:150

Western Blot

1:2000

Formulation, Preparation, and Storage

Purification

Immunogen affinity purified

Formulation

PBS (pH 7.3), 1.0% BSA and 50% Glycerol

Preservative

0.02% Sodium Azide

Concentration

1 mg/ml

Shipping

The product is shipped with polar packs. Upon receipt, store it immediately at the temperature recommended below.

Stability & Storage

Store at -20C. Avoid freeze-thaw cycles.

Background: 12-Lipoxygenase

Oxygenase and 14,15-leukotriene A4 synthase activity

Long Name

Polyunsaturated fatty acid lipoxygenase ALOX12

Alternate Names

12LO, 12S-lipoxygenase, 12S-LOX, ALOX12, EC 1.13.11.-, EC 1.13.11.31, EC 1.13.11.33, EC 3.3.2.-, LOG12

Gene Symbol

ALOX12

Additional 12-Lipoxygenase Products

Product Documents for 12-Lipoxygenase Antibody (OTI1C3)

Certificate of Analysis

To download a Certificate of Analysis, please enter a lot number in the search box below.

Product Specific Notices for 12-Lipoxygenase Antibody (OTI1C3)

This product is for research use only and is not approved for use in humans or in clinical diagnosis. Primary Antibodies are guaranteed for 1 year from date of receipt.

Loading...
Loading...
Loading...
Loading...