Skip to main content

11 beta-HSD1 Antibody - BSA Free

Novus Biologicals, part of Bio-Techne | Catalog # NBP3-13393

Novus Biologicals, part of Bio-Techne
Catalog #
Availability
Size / Price
Qty
Loading...
NBP3-13393

Key Product Details

Species Reactivity

Mouse, Rat

Applications

Immunohistochemistry, Immunohistochemistry-Paraffin, Western Blot

Label

Unconjugated

Antibody Source

Polyclonal Rabbit IgG

Format

BSA Free

Concentration

Concentrations vary lot to lot. See vial label for concentration. If unlisted please contact technical services.

Product Specifications

Immunogen

Recombinant protein encompassing a sequence within the C-terminus region of mouse 11 beta-HSD1. The exact sequence is proprietary.

Clonality

Polyclonal

Host

Rabbit

Isotype

IgG

Description

Centrifuge briefly prior to opening.

Scientific Data Images for 11 beta-HSD1 Antibody - BSA Free

Western Blot: 11 beta-HSD1 Antibody [NBP3-13393]

Western Blot: 11 beta-HSD1 Antibody [NBP3-13393]

Western Blot: 11 beta-HSD1 Antibody [NBP3-13393] - Rat tissue extract (50 ug) was separated by 12% SDS-PAGE, and the membrane was blotted with 11 beta-HSD1 antibody (NBP3-13393) diluted at 1:1000. The HRP-conjugated anti-rabbit IgG antibody (NBP2-19301) was used to detect the primary antibody, and the signal was developed with Trident ECL plus-Enhanced.
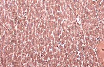
Immunohistochemistry-Paraffin: 11 beta-HSD1 Antibody [NBP3-13393]

Immunohistochemistry-Paraffin: 11 beta-HSD1 Antibody [NBP3-13393]

Immunohistochemistry-Paraffin: 11 beta-HSD1 Antibody [NBP3-13393] - 11 beta-HSD1 antibody detects 11 beta-HSD1 protein at cytoplasm by immunohistochemical analysis. Sample: Paraffin-embedded rat muscle. 11 beta-HSD1 stained by 11 beta-HSD1 antibody (NBP3-13393) diluted at 1:500. Antigen Retrieval: Citrate buffer, pH 6.0, 15 min
Western Blot: 11 beta-HSD1 Antibody [NBP3-13393]

Western Blot: 11 beta-HSD1 Antibody [NBP3-13393]

Western Blot: 11 beta-HSD1 Antibody [NBP3-13393] - Mouse tissue extract (50 ug) were separated by 12% SDS-PAGE, and the membrane was blotted with 11 beta-HSD1 antibody (NBP3-13393) diluted at 1:1000. The HRP-conjugated anti-rabbit IgG antibody (NBP2-19301) was used to detect the primary antibody.

Applications for 11 beta-HSD1 Antibody - BSA Free

Application
Recommended Usage

Immunohistochemistry

Optimal dilutions of this antibody should be experimentally determined.

Immunohistochemistry-Paraffin

Optimal dilutions of this antibody should be experimentally determined.

Western Blot

Optimal dilutions of this antibody should be experimentally determined.

Formulation, Preparation, and Storage

Purification

Antigen Affinity-purified

Formulation

PBS, 20% Glycerol

Format

BSA Free

Preservative

0.025% Proclin 300

Concentration

Concentrations vary lot to lot. See vial label for concentration. If unlisted please contact technical services.

Shipping

The product is shipped with polar packs. Upon receipt, store it immediately at the temperature recommended below.

Stability & Storage

Store at 4C short term. Aliquot and store at -20C long term. Avoid freeze-thaw cycles.

Background: 11 beta-HSD1

HSD11B1 is encoded by this gene is a microsomal enzyme that catalyzes the conversion of the stress hormone cortisol to the inactive metabolite cortisone. In addition, the encoded protein can catalyze the reverse reaction, the conversion of cortisone to cortisol. Too much cortisol can lead to central obesity, and a particular variation in this gene has been associated with obesity and insulin resistance in children. Two transcript variants encoding the same protein have been found for this gene.

Long Name

11 beta Hydroxysteroid Dehydrogenase 1

Alternate Names

11 betaHSD1, HSD11B1

Gene Symbol

HSD11B1

Additional 11 beta-HSD1 Products

Product Documents for 11 beta-HSD1 Antibody - BSA Free

Certificate of Analysis

To download a Certificate of Analysis, please enter a lot number in the search box below.

Product Specific Notices for 11 beta-HSD1 Antibody - BSA Free

This product is for research use only and is not approved for use in humans or in clinical diagnosis. Primary Antibodies are guaranteed for 1 year from date of receipt.

Loading...
Loading...
Loading...
Loading...