Skip to main content

11 beta-HSD1 Antibody - BSA Free

Novus Biologicals, part of Bio-Techne | Catalog # NBP2-48879

Novus Biologicals, part of Bio-Techne
Catalog #
Availability
Size / Price
Qty
Loading...
NBP2-48879

Key Product Details

Validated by

Orthogonal Validation

Species Reactivity

Human

Applications

Immunohistochemistry, Immunohistochemistry-Paraffin, Western Blot

Label

Unconjugated

Antibody Source

Polyclonal Rabbit IgG

Format

BSA Free

Concentration

Concentrations vary lot to lot. See vial label for concentration. If unlisted please contact technical services.

Product Specifications

Immunogen

This antibody was developed against a recombinant protein corresponding to amino acids: CVLGLIDTETAMKAVSGIVHMQAAPKEECALEIIKGGALRQEEVYYDSSLWTTLLIRNPCRKILEFLYSTSYNMDRFI

Clonality

Polyclonal

Host

Rabbit

Isotype

IgG

Description

Novus Biologicals Rabbit 11 beta-HSD1 Antibody - BSA Free (NBP2-48879) is a polyclonal antibody validated for use in IHC and WB. All Novus Biologicals antibodies are covered by our 100% guarantee.

Scientific Data Images for 11 beta-HSD1 Antibody - BSA Free

Western Blot: 11 beta-HSD1 Antibody [NBP2-48879]

Western Blot: 11 beta-HSD1 Antibody [NBP2-48879]

Western Blot: 11 beta-HSD1 Antibody [NBP2-48879] - Lane 1: Marker [kDa] 250, 130, 95, 72, 55, 36, 28, 17, 10
Lane 2: Human cell line RT-4
Lane 3: Human cell line U-251MG sp
Lane 4: Human plasma (IgG/HSA depleted)
Lane 5: Human liver tissue
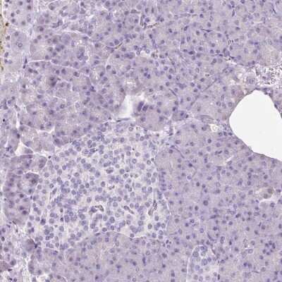
Immunohistochemistry-Paraffin: 11 beta-HSD1 Antibody [NBP2-48879]

Immunohistochemistry-Paraffin: 11 beta-HSD1 Antibody [NBP2-48879]

Immunohistochemistry-Paraffin: 11 beta-HSD1 Antibody [NBP2-48879] - Staining of human pancreas shows negative cytoplasmic positivity in exocrine glandular cells as expected.
Immunohistochemistry-Paraffin: 11 beta-HSD1 Antibody [NBP2-48879]

Immunohistochemistry-Paraffin: 11 beta-HSD1 Antibody [NBP2-48879]

Immunohistochemistry-Paraffin: 11 beta-HSD1 Antibody [NBP2-48879] - Staining of human liver shows high expression.

Applications for 11 beta-HSD1 Antibody - BSA Free

Application
Recommended Usage

Immunohistochemistry

1:50 - 1:200

Immunohistochemistry-Paraffin

1:50 - 1:200

Western Blot

0.04-0.4 ug/ml
Application Notes
For IHC-Paraffin, HIER pH 6 retrieval is recommended.

Formulation, Preparation, and Storage

Purification

Immunogen affinity purified

Formulation

PBS (pH 7.2) and 40% Glycerol

Format

BSA Free

Preservative

0.02% Sodium Azide

Concentration

Concentrations vary lot to lot. See vial label for concentration. If unlisted please contact technical services.

Shipping

The product is shipped with polar packs. Upon receipt, store it immediately at the temperature recommended below.

Stability & Storage

Store at 4C short term. Aliquot and store at -20C long term. Avoid freeze-thaw cycles.

Background: 11 beta-HSD1

HSD11B1 is encoded by this gene is a microsomal enzyme that catalyzes the conversion of the stress hormone cortisol to the inactive metabolite cortisone. In addition, the encoded protein can catalyze the reverse reaction, the conversion of cortisone to cortisol. Too much cortisol can lead to central obesity, and a particular variation in this gene has been associated with obesity and insulin resistance in children. Two transcript variants encoding the same protein have been found for this gene.

Long Name

11 beta Hydroxysteroid Dehydrogenase 1

Alternate Names

11 betaHSD1, HSD11B1

Gene Symbol

HSD11B1

Additional 11 beta-HSD1 Products

Product Documents for 11 beta-HSD1 Antibody - BSA Free

Certificate of Analysis

To download a Certificate of Analysis, please enter a lot number in the search box below.

Product Specific Notices for 11 beta-HSD1 Antibody - BSA Free

This product is for research use only and is not approved for use in humans or in clinical diagnosis. Primary Antibodies are guaranteed for 1 year from date of receipt.

Loading...
Loading...
Loading...
Loading...