次世代のウェスタン蛋白質アナライザー
Abbyは次世代の化学発光ウェスタンシステムで、ワークフローを簡素化し、論文発表に十分な結果を高速かつ高い信頼性で提供できるよう設計されました。Abbyを使用すれば、最大25サンプルのタンパク質のサイズ分離と免疫検出を自動化し、わずか3時間で分析結果を得ることができます。完全に自動化されたピコグラムレベルの感度を体験ください。従来のウェスタンブロットのばらつきや時間のかかるステップから研究者を解放します。Abbyは、より迅速でエラーのないウエスタン結果を得るためのシンプルな方法で、もう二度とマニュアルのウェスタンブロットをやりたくないという気持ちにさせます。
Abbyとの出会い:次世代の化学発光ウェスタンシステム
Abbyは、従来のウェスタンブロッティングのタンパク質分離と免疫検出を自動化し、面倒でエラーの起こりやすいステップの多くを排除します。サンプルと試薬をマイクロプレートにセットするだけで、あとはAbbyが行います。Abbyはタンパク質をサイズごとに分離し、抗体の添加、インキュベーション、洗浄、検出ステップ、そして分析までを正確に管理します。最短3時間で24検体を完全に分析し、定量結果を得ることができます。Abbyの化学発光検出では、ピコグラムレベルの感度が得られるため、サンプルから得られるデータを最大限に活用できます。そして何より、ロードした総タンパク質量に対するターゲットタンパク質のノーマライゼーションにより、信頼性と再現性の高い結果を得ることができます。
データを取得する時間を短縮したい!
Abbyはウェスタン操作を簡素化します。 サンプルと各試薬をピペットでプレートに分注し、残りはAbbyに任せましょう! Abbyは、タンパク質の分離、免疫プロービング、検出、およびデータ分析を自動で行います。 30分間の簡単な実験セットアップだけで、後は3時間のハンズフリー測定後に24サンプル分の分析結果が出力されます。 データ取得や研究成果の発表までの時間を大幅に短縮します。
ウェスタンの感度を上げたい!
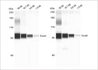
存在量の少ないターゲットまたは貴重なサンプルを使用していませんか? 化学発光検出によるピコグラムレベルの高感度で、貴重なサンプルからデータを最大限に得られます。またRePlex機能を使用して同じキャピラリーで化学発光イムノアッセイを2回実行することにより、サンプルをさらに節約します。
ReThink, ReUse, RePlex!
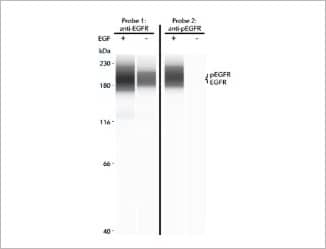
Abby のRePlex™機能を使用すると、同じキャピラリー内で連続した2つのイムノアッセイができます。 同じサンプルでイムノアッセイと総タンパク質の分析もできます! より少ないサンプルで、より多くのタンパク質の特性評価ができます。
- リン酸化および非リン酸化タンパク質の発現を定量
- 同じキャピラリー内で総タンパク質を検出して、イムノアッセイデータをノーマライゼーション
- ウェスタンのワークフローに費やす時間を大幅に削減
- データポイント当りのコストを削減
査読者は総タンパク質でノーマライズすることを要求しています
AbbyのRePlex機能を使用すると、イムノアッセイと同じキャピラリーに固定化されたすべてのタンパク質を測定することで、サンプルに一定量の総タンパク質がロードされているかどうかを簡単に確認できます。 総タンパク質でノーマライズすると、結果の信頼性が高まります。
トータル/リン酸化ターゲットを研究したい
AbbyのRePlex™機能を使用して、同じキャピラリー内のトータル/リン酸化ターゲットを検出できます。
貴重なサンプルを節約したい
AbbyのRePlex機能を使用すると、1回の実験で複数のターゲットをプローブできるため、貴重なサンプルを節約しながら時間と費用も節約できます。 化学発光検出による連続イムノアッセイで、複数ターゲットを多重分析できます。
ラボでの実験時間を減らしたい
退屈なウェスタンプロトコルのせいで、研究目標に遅れをとっていませんか? 限られたラボスペースで、サンプルの調製準備に苦労していませんか? Abbyはあなたを21世紀のウェスタン技術革新へ案内します! 自動化されたウェスタン操作を実感してください、3時間後にはリモートでデータを解析できます。
Citations/Testimonials
Citations for Abby
View all citations for the Simple Western platform.
Please visit our Instrument Citation Database to search our collection of scientific articles that feature our instruments.
Simple Westernに寄せられた研究者からの声
「Simple Westernのおかげで、後期うつ病やアルツハイマー病に関連する不安症状緩和の可能性のある新規シナプス標的を見出すことができ、これからもそうでしょう。」
Dr. Victor Luna Finds Novel Synaptic Targets Using Simple Western Technology
Victor Luna, PhD, Assistant Professor, Alzheimer’s Center at Temple University, Department of Neural Sciences, Lewis Katz School of Medicine, Temple University
「Jessは定量化においてより迅速で信頼性が高く、例えばiPSC由来の神経細胞のような入手困難なサンプルなど、少ないサンプル量でも使用できます。」
Tatiana Moves Closer to Treating Neurodegenerative Diseases With Jess
Dr. Tatiana Rosado Rosenstock, Principal Scientist, Sygnature Discovery
「Simple Westernの使用は、非常にやりがいがありました。特に、ウェスタンブロッティングアッセイをSimple Westernで完全に自動化されたフォーマットに移行することがいかに簡単であったか、また、CST抗体がプラットフォーム上でいかにうまく機能するかという点です。」
Translating Traditional Western Blots to Simple Western is Fast and Easy
Chris LaBreck, Ph.D., Senior Product Scientist, Cell Signaling Technology (CST)
「Simple Western™を使えば、従来のウェスタンブロットでは2日かかるアッセイを3時間で行うことができます。」
Advancing Cell and Gene Therapies with Jess
Laura Martins, Ph.D., Early Development Scientist, Oxford Biomedica
「Jessのおかげで、治療に応答するオートファジーのバイオマーカーが、アップレギュレートやダウンレギュレートを即座に特定できました。これにより、主成分分析や階層的クラスタリングのような高度な統計技術を使用して、重要な相関関係を簡単に評価できます。」
Restoring Autophagy, Reversing Disease with Jess
John K. Blackwood PhD, Head of Biology, and Jakub Stefaniak PhD, Samsara Therapeutics
Abbyは、旧来のウェスタン技法を一から見直した、自動化されたウェスタンブロット技術です。 AbbyのSimpleWesternアッセイは、従来のウェスタンに特有の複雑な手技を排除した全自動キャピラリーベースのイムノアッセイです。 Abbyは、抗体の添加、インキュベーション、洗浄などのウェスタンブロッティングワークフローを自動化します。 標的タンパク質の検出に困っていませんか? 解決できます! Abbyのピコグラム感度と総タンパク質検出、そしてわずか3〜5時間での完全な分析を経験すると、従来のウェスタンブロットに二度と戻れなくなることを保証します!
化学発光検出: 存在量の少ないタンパク質を使用していますか、それとも分析用のサンプル量がほとんどありませんか? Abbyは、化学発光検出で両方の問題を解決します。 サンプルから最大限のデータを引き出すピコグラムレベルの感度を経験ください。
総タンパク質のノーマライゼーション: ハウスキーピングタンパク質によるノーマライゼーションでは、異なる種類のサンプル間で発現のばらつきがあるため、査読者に許容され難くなっています。 AbbyのRePlex機能では、総タンパク質でノーマライズすることで、より信頼性の高い方法を提供します。
AbbyでSimpleWesternデータはどのように表示されますか?
Abbyの完全な解析結果は、レーンビューまたはグラフビューで表示できます。 レーンビューオプションを使用して、バンド強度の比較や、タンパク質のサイズと濃度の完全定量も簡単です。 またターゲットタンパク質の発現を総タンパク質と比較できます。ユーザーフレンドリーなCompassソフトウェアを使用したデータ分析は迅速かつ簡単です。測定ファイルではグラフとベースラインのオプションを保存し、レーンビュー機能で結果に手早く注釈を付けます。 Compass 6.0のレーン注釈機能により、他のソフトウェアでデータに注釈を付ける時間を節約できます。 次の研究論文について考える時間を増やし、すばやく結果を解釈できます。
| 内容 | 総タンパク質 SPECIFICATION | 化学発光 SPECIFICATION |
|---|---|---|
| 必要サンプル量 | 0.3-1.2 µg | 0.6-1.2 µg |
| 必要サンプル容量 | 3 µL/well | |
| サイズ (分子量)範囲 | 分子量 (MW) ラダーレンジ: 2-440 kDa | |
| CV (サイズ) | <10% | |
| CV (測定内) | <15% | |
| CV (測定間) | <20%† | <20%* |
| 解像度 (± % 分子量により異なる) | ± 15-20% for MW <20 kDA ± 10% for MW >20 kDa | |
| 定量性CV | <20% (total protein, chemiluminescence and fluorescence) | |
| ダイナミックレンジ | 2-3 logs | 3-4 logs |
| 感度 | ng | Low pg |
| キャピラリーサイズ | 5 cm, 100 µm, 400 nL | |
| 測定時間 | <3 時間 RePlex: 5 時間 | |
| 最大サンプル数/測定 | 13 or 25 | |
| 重量 | 21 kg | |
| 機器サイズ (ドア閉時) | 0.36 m H X 0.36 m W X 0.57 m D | |
| 機器サイズ (ドア開時) | 0.36 m H x 0.53 m W x 0.57 m D | |
| 必要電源 | US/CAN 120 V AC, 60 hz, 4.2 amps Europe 240 AC, 50 Hz, 2.1 amps Japan 100 AC, 50/60 Hz, 5.0 amps | |
| 測定時の室温範囲 | 18-24 °C | |
| 測定時の湿度範囲 | 20-60% 相対、結露しないこと | |
* アッセイ間CVは専用のシステムコントロールを使用時
† パーセントピーク面積
Product Documents for Abby
Bio-Techne.comでの日本語ページをご覧ください