Skip to main content

Tryptase alpha/beta 1 Antibody (TPSAB1/1963)

Novus Biologicals, part of Bio-Techne | Catalog # NBP3-07698

Novus Biologicals, part of Bio-Techne
Catalog #
Availability
Size / Price
Qty
Loading...
NBP3-07698-100ug
NBP3-07698-20ug

Key Product Details

Species Reactivity

Human

Applications

Immunohistochemistry-Paraffin

Label

Unconjugated

Antibody Source

Monoclonal Mouse IgG1 kappa Clone # TPSAB1/1963

Concentration

0.2 mg/ml

Product Specifications

Immunogen

Recombinant human Tryptase alpha/TPS1 protein fragment (around aa 115-233) (Exact sequence is proprietary) (Uniprot: Q15661)

Localization

Secreted and Cytoplasmic

Specificity

This antibody reacts with mast cells distributed in skin, synovium, lung, and heart. This antibody does not bind with any other cell type. Human mast cell tryptase is considered to be an important marker of mast cell activation and is an important mediator of inflammation. Mastocytosis is a term collectively used for a group of disorders in which there is abnormal accumulation of mast cells in one or multiple organs. Anti-tryptase, combined with anti-CD2, anti-CD25, and anti-CD117, can be useful in identifying reactive mast cell hyperplasia, myelogenous neoplasms, mast cell leukemia, and mastocytosis.Due to sequence identity this antibody will likely cross react with tryptase beta 2.

Marker

Mast Cell Marker

Clonality

Monoclonal

Host

Mouse

Isotype

IgG1 kappa

Description

200ug/ml of antibody purified from Bioreactor Concentrate by Protein A or G. Prepared in 10 mM PBS with 0.05% BSA & 0.05% azide. Also available WITHOUT BSA & azide at 1.0 mg/ml. (NBP3-08649)

Antibody with azide - store at 2 to 8C. Antibody without azide - store at -20 to -80C.

Scientific Data Images for Tryptase alpha/beta 1 Antibody (TPSAB1/1963)

Immunohistochemistry-Paraffin: Tryptase alpha/beta 1 Antibody (TPSAB1/1963) [NBP3-07698]

Immunohistochemistry-Paraffin: Tryptase alpha/beta 1 Antibody (TPSAB1/1963) [NBP3-07698]

Immunohistochemistry-Paraffin: Tryptase alpha/TPS1 Antibody (TPSAB1/1963) [NBP3-07698] - Formalin-fixed, paraffin-embedded human Tonsil stained with Tryptase alpha/TPS1 Mouse Monoclonal Antibody (TPSAB1/1963).
Immunohistochemistry-Paraffin: Tryptase alpha/beta 1 Antibody (TPSAB1/1963) [NBP3-07698]

Immunohistochemistry-Paraffin: Tryptase alpha/beta 1 Antibody (TPSAB1/1963) [NBP3-07698]

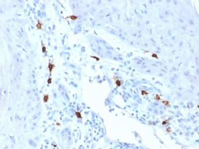
Immunohistochemistry-Paraffin: Tryptase alpha/TPS1 Antibody (TPSAB1/1963) [NBP3-07698] - Formalin-fixed, paraffin-embedded human Skin stained with Tryptase alpha/TPS1 Mouse Monoclonal Antibody (TPSAB1/1963).

Applications for Tryptase alpha/beta 1 Antibody (TPSAB1/1963)

Application
Recommended Usage

Immunohistochemistry-Paraffin

1-2 ug/ml
Application Notes
Immunohistochemistry (Formalin-fixed): 1-2ug/ml for 30 minutes at RT. Staining of formalin-fixed tissues requires heating tissue sections in 10mM Tris with 1mM EDTA, pH 9.0, for 45 min at 95C followed by cooling at RT for 20 minutes.
Optimal dilution for a specific application should be determined.

Formulation, Preparation, and Storage

Purification

Protein A or G purified

Formulation

10 mM PBS with 0.05% BSA

Preservative

0.05% Sodium Azide

Concentration

0.2 mg/ml

Shipping

The product is shipped with polar packs. Upon receipt, store it immediately at the temperature recommended below.

Stability & Storage

Store at 4C.

Background: Tryptase alpha/beta 1

Tryptases comprise a family of trypsin-like serine proteases, the peptidase family S1. Tryptases are enzymatically active only as heparin-stabilized tetramers, and they are resistant to all known endogenous proteinase inhibitors. Several tryptase genes are clustered on chromosome 16p13.3. These genes are characterized by several distinct features. They have a highly conserved 3' UTR and contain tandem repeat sequences at the 5' flank and 3' UTR which are thought to play a role in regulation of the mRNA stability. These genes have an intron immediately upstream of the initiator Met codon, which separates the site of transcription initiation from protein coding sequence. This feature is characteristic of tryptases but is unusual in other genes. The alleles of this gene exhibit an unusual amount of sequence variation, such that the alleles were once thought to represent two separate genes, alpha and beta 1. Beta tryptases appear to be the main isoenzymes expressed in mast cells; whereas in basophils, alpha tryptases predominate. Tryptases have been implicated as mediators in the pathogenesis of asthma and other allergic and inflammatory disorders. [provided by RefSeq, Jul 2008]

Alternate Names

alpha-Tryptase, EC:3.4.21.59, epididymis secretory sperm binding protein, mast cell alpha II tryptase, mast cell beta I tryptase, mast cell tryptase, TPS1, TPS2, TPSAB1, TPSB1, TPSB2, Tryptase 1, tryptase alpha II, Tryptase alpha-1, tryptase beta I, tryptase beta-1, Tryptase beta-2, Tryptase I, tryptase II, tryptase-1, tryptase-2, tryptase-I, tryptase-III

Gene Symbol

TPSAB1

UniProt

Additional Tryptase alpha/beta 1 Products

Product Documents for Tryptase alpha/beta 1 Antibody (TPSAB1/1963)

Certificate of Analysis

To download a Certificate of Analysis, please enter a lot number in the search box below.

Product Specific Notices for Tryptase alpha/beta 1 Antibody (TPSAB1/1963)

This product is for research use only and is not approved for use in humans or in clinical diagnosis. Primary Antibodies are guaranteed for 1 year from date of receipt.

Loading...
Loading...
Loading...
Loading...