Skip to main content

Key Product Details

Species Reactivity

Human

Applications

Immunohistochemistry, Western Blot, Immunocytochemistry, Simple Western

Label

Unconjugated

Antibody Source

Monoclonal Mouse IgG2B Clone # 1098251

Product Specifications

Immunogen

Mouse myeloma cell line, NS0- derived recombinant human VE-Cadherin
Accession # P33151

Specificity

Detects recombinant human VE-Cadherin protein in Direct ELISA.

Clonality

Monoclonal

Host

Mouse

Isotype

IgG2B

Scientific Data Images for Human VE-Cadherin Antibody

Detection of Human VE-Cadherin by Western Blot.

Western Blot shows lysates of HUVEC human umbilical vein endothelial cells. PVDF membrane was probed with 2 µg/ml of Mouse Anti-Human VE-Cadherin Monoclonal Antibody (Catalog # MAB11663) followed by HRP-conjugated Anti-Mouse IgG Secondary Antibody (Catalog # HAF018). A specific band was detected for VE-Cadherin at approximately 125 kDa (as indicated). This experiment was conducted under reducing conditions and using Western Blot Buffer Group 1.

Detection of Human VE-Cadherin by Simple WesternTM.

Simple Western shows lysates of HUVEC human umbilical vein endothelial cells, loaded at 0.5 mg/ml. A specific band was detected for VE-Cadherin at approximately 153 kDa (as indicated) using 20 µg/mL of Mouse Anti-Human VE-Cadherin Monoclonal Antibody (Catalog # MAB11663). This experiment was conducted under reducing conditions and using the 12-230 kDa separation system.

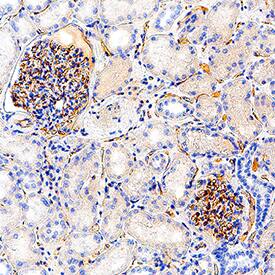
Detection of VE-Cadherin in Human Kidney.

VE-Cadherin was detected in immersion fixed paraffin-embedded sections of human kidney using Mouse Anti-Human VE-Cadherin Monoclonal Antibody (Catalog # MAB11663) at 5 µg/ml for 1 hour at room temperature followed by incubation with the Anti-Mouse IgG VisUCyte™ HRP Polymer Antibody (Catalog # VC001) or the HRP-conjugated Anti-Mouse IgG Secondary Antibody (Catalog # HAF007). Before incubation with the primary antibody, tissue was subjected to heat-induced epitope retrieval using VisUCyte Antigen Retrieval Reagent-Basic (Catalog # VCTS021). Tissue was stained using DAB (brown) and counterstained with hematoxylin (blue). Specific staining was localized to the cell membrane of endothelial cells. View our protocol for IHC Staining with VisUCyte HRP Polymer Detection Reagents.

Applications for Human VE-Cadherin Antibody

Application
Recommended Usage

Immunocytochemistry

3-25 µg/mL
Sample: Immersion fixed HUVEC human umbilical vein endothelial cells (Positive) and absent in MCF-7 human breast cancer cell line (Negative)

Immunohistochemistry

3-25 µg/mL
Sample: Immersion fixed paraffin-embedded sections of human kidney and human cervix

Simple Western

20 µg/mL
Sample: HUVEC human umbilical vein endothelial cells

Western Blot

2 µg/mL
Sample: HUVEC human umbilical vein endothelial cells

Formulation, Preparation, and Storage

Purification

Protein A or G purified from hybridoma culture supernatant

Reconstitution

Reconstitute lyophilized material at 0.2 mg/ml in sterile PBS. For liquid material, refer to CoA for concentration.

Reconstitution Buffer Available:
Size / Price
Qty
Loading...

Formulation

Lyophilized from a 0.2 μm filtered solution in PBS with Trehalose.

Shipping

Lyophilized product is shipped at ambient temperature. Liquid small pack size (-SP) is shipped with polar packs. Upon receipt, store immediately at the temperature recommended below.

Stability & Storage

Use a manual defrost freezer and avoid repeated freeze-thaw cycles.
  • 12 months from date of receipt, -20 to -70 °C as supplied.
  • 1 month, 2 to 8 °C under sterile conditions after reconstitution.
  • 6 months, -20 to -70 °C under sterile conditions after reconstitution.

Background: VE-Cadherin

Vascular endothelial (VE)-cadherin (VE-CAD), also called 7B4 and cadherin‑5 (CDH5), is a member of the cadherin family of cell adhesion molecules. Cadherins are calcium‑dependent transmembrane proteins which bind to one another in a homophilic manner. On their cytoplasmic side, they associate with the three catenins, alpha, beta, and gamma (plakoglobin). This association links the cadherin protein to the cytoskeleton. Without association with the catenins, the cadherins are non-adhesive. Cadherins play a role in development, specifically in tissue formation. They may also help to maintain tissue architecture in the adult. VE-cadherin has been shown to play important roles in vasculogenesis and angiogenesis. VE-cadherin is a classical cadherin molecule. Classical cadherins consist of a large extracellular domain which contains DXD and DXNDN repeats responsible for mediating calcium-dependent adhesion, a single-pass transmembrane domain, and a short carboxy-terminal cytoplasmic domain responsible for interacting with the catenins. Human VE-cadherin is a 784 amino acid (aa) residue protein with a 25 aa signal sequence and a 759 aa propeptide. The mature protein begins at amino acid 48 and has a 546 aa extracellular domain, a 27 aa transmembrane domain, and a 164 aa cytoplasmic domain. The human and mouse mature VE-cadherin proteins share approximately 74% homology.

References

  1. Shimoyama, Y. et al. (1989) J. Cell Biol. 109:1787.
  2. Bussemakers, M.J.G. et al. (1993) Mol. Biol. Reports 17:123.
  3. Overduin, M. et al. (1995) Science 267:386.
  4. Takeichi, M. (1991) Science 251:1451.
  5. Nose, A. et al. (1987) EMBO J. 6:3655.
  6. Carmeliet, P. et al. (1999) Cell 98:147.
  7. Gory-Faure, S. et al. (1999) Development 126:2093.

Long Name

Vascular Endothelium Cadherin

Alternate Names

Cadherin-5, CD144, CDH5, VECadherin

Entrez Gene IDs

1003 (Human); 12562 (Mouse)

Gene Symbol

CDH5

UniProt

Additional VE-Cadherin Products

Product Documents for Human VE-Cadherin Antibody

Certificate of Analysis

To download a Certificate of Analysis, please enter a lot number in the search box below.

Note: Certificate of Analysis not available for kit components.

Product Specific Notices for Human VE-Cadherin Antibody

For research use only

Loading...
Loading...
Loading...
Loading...