Skip to main content

Human Galectin-9 Antibody

R&D Systems, part of Bio-Techne | Catalog # MAB20454

Catalog #
Availability
Size / Price
Qty
Loading...
MAB20454-100
MAB20454-SP

Key Product Details

Species Reactivity

Human

Applications

Immunohistochemistry, Western Blot, Flow Cytometry, CyTOF-ready

Label

Unconjugated

Antibody Source

Monoclonal Mouse IgG2A Clone # 1015227

Product Specifications

Immunogen

Human embryonic kidney cell, HEK293 derived human Galectin-9
Met1-Thr323
Accession # NP_002299

Specificity

Detects human Galectin-9 in direct ELISAs and Western blots.

Clonality

Monoclonal

Host

Mouse

Isotype

IgG2A

Scientific Data Images for Human Galectin-9 Antibody

Detection of Human Galectin-9 antibody by Western Blot.

Detection of Human Galectin‑9 by Western Blot.

Western blot shows lysates of HEK293 human embryonic kidney cell line either mock transfected or transfected with human Galectin-9 . PVDF membrane was probed with 2 µg/mL of Mouse Anti-Human Galectin-9 Monoclonal Antibody (Catalog # MAB20454) followed by HRP-conjugated Anti-Mouse IgG Secondary Antibody (Catalog # HAF018). A specific band was detected for Galectin-9 at approximately 45 kDa (as indicated). This experiment was conducted under reducing conditions and using Immunoblot Buffer Group 1.
Detection of Galectin-9 antibody in HEK293 Human Cell Line Transfected with Human Galectin-9 and eGFP antibody by Flow Cytometry.

Detection of Galectin-9 in HEK293 Human Cell Line Transfected with Human Galectin-9 and eGFP by Flow Cytometry.

HEK293 human embryonic kidney cell line transfected with either (A) human Galectin-9 or (B) irrelevant protein and eGFP was stained with Mouse Anti-Human Galectin-9 Monoclonal Antibody (Catalog # MAB20454) followed by Allophycocyanin-conjugated Anti-Mouse IgG Secondary Antibody (Catalog # F0101B). Quadrant markers were set based on control antibody staining (Catalog # MAB003). View our protocol for Staining Membrane-associated Proteins.
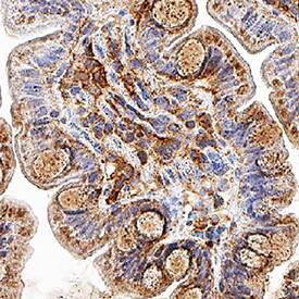
Galectin-9 antibody in Human Colon by Immunohistochemistry (IHC-P).

Galectin‑9 in Human Colon.

Galectin-9 was detected in immersion fixed paraffin-embedded sections of human colon using Mouse Anti-Human Galectin-9 Monoclonal Antibody (Catalog # MAB20454) at 5 µg/mL for 1 hour at room temperature followed by incubation with the Anti-Mouse IgG VisUCyte™ HRP Polymer Antibody (Catalog # VC001). Before incubation with the primary antibody, tissue was subjected to heat-induced epitope retrieval using Antigen Retrieval Reagent-Basic (Catalog # CTS013). Tissue was stained using DAB (brown) and counterstained with hematoxylin (blue). Specific staining was localized to cytoplasm in villi. View our protocol for IHC Staining with VisUCyte HRP Polymer Detection Reagents.

Applications for Human Galectin-9 Antibody

Application
Recommended Usage

CyTOF-ready

Ready to be labeled using established conjugation methods. No BSA or other carrier proteins that could interfere with conjugation.

Flow Cytometry

0.25 µg/106 cells
Sample: HEK293 Human Cell Line Transfected with Human Galectin-9 and eGFP

Immunohistochemistry

5-25 µg/mL
Sample: Immersion fixed paraffin-embedded sections of human colon

Western Blot

2 µg/mL
Sample: HEK293 human embryonic kidney cell line transfected with human Galectin‑9

Formulation, Preparation, and Storage

Purification

Protein A or G purified from hybridoma culture supernatant

Reconstitution

Reconstitute at 0.5 mg/mL in sterile PBS. For liquid material, refer to CoA for concentration.

Reconstitution Buffer Available:
Size / Price
Qty
Loading...

Formulation

Lyophilized from a 0.2 μm filtered solution in PBS with Trehalose. *Small pack size (SP) is supplied either lyophilized or as a 0.2 µm filtered solution in PBS.

Shipping

Lyophilized product is shipped at ambient temperature. Liquid small pack size (-SP) is shipped with polar packs. Upon receipt, store immediately at the temperature recommended below.

Stability & Storage

Use a manual defrost freezer and avoid repeated freeze-thaw cycles.
  • 12 months from date of receipt, -20 to -70 °C as supplied.
  • 1 month, 2 to 8 °C under sterile conditions after reconstitution.
  • 6 months, -20 to -70 °C under sterile conditions after reconstitution.

Background: Galectin-9

Galectins comprise a family of multifunctional carbohydrate-binding proteins with specificity for N‑acetyl-lactosamine-containing glycoproteins. At least 14 mammalian Galectins share structural similarities in their carbohydrate recognition domains (CRD), forming three groups: prototype (one CRD), tandem-repeat (two CRDs), and chimeric (one CRD, unique N‑terminus) (1, 2). Full length Galectin-9 is a widely expressed 39 kDa tandem-repeat Galectin that contains two CRDs connected by a linker region (3). Progressive deletion within the linker region generates a 36 kDa isoform, also known as Ecalectin or UAT, as well as a 35 kDa isoform (4). This recombinant protein corresponds to the Ecalectin isoform of human Galectin-9 and shares 70% and 73% aa sequence identity with the corresponding regions of mouse and rat Galectin-9, respectively. Galectin-9 exhibits a wide range of activities. All three isoforms function as eosinophil chemoattractants (5, 6). This activity is destroyed by thrombin-mediated cleavage within the linker region of the long isoform, although the Ecalectin isoform is resistant to thrombin (7). Galectin-9 binds to carbohydrate moieties of IgE, thereby preventing immune complex formation, mast cell degranulation, and asthmatic and cutaneous anaphylaxis reactions (8). Independent of its lectin properties, Galectin-9 induces the maturation of dendritic cells which promote Th1 polarization (9). Galectin-9 induces cellular apoptosis in part by direct binding to TIM-3 (10, 11). Its interaction with TIM-3 inhibits Th1 cell and CD8+ cytotoxic T cell responses and also promotes regulatory T cell differentiation and activity (11, 12). Galectin-9 suppresses tumor cell metastasis by interfering with the associations between hyaluronic acid and CD44 and between VCAM-1 and Integrin alpha4 beta1 (13). The Ecalectin isoform (UAT; urate transporter) can also be expressed as an integral membrane protein and mediate the cellular efflux of urate (14).

References

  1. Yang, R-Y. et al. (2008) Expert Rev. Mol. Med. 10:e17.
  2. Elola, M. T. et al. (2007) Cell. Mol. Life Sci. 64:1679.
  3. Tureci, O. et al. (1997) J. Biol. Chem. 272:6416.
  4. Chabot, S. et al. (2002) Glycobiology 12:111.
  5. Matsumoto, R. et al. (2002) J. Immunol. 168:1961.
  6. Sato, M. et al. (2002) Glycobiology 12:191.
  7. Nishi, N. et al. (2006) Glycobiology 16:15C.
  8. Niki, T. et al. (2009) J. Biol. Chem. 284:32344.
  9. Dai, S.-Y. et al. (2005) J. Immunol. 175:2974.
  10. Seki, M. et al. (2007) Arthritis Rheum. 56:3968.
  11. Zhu, C. et al. (2005) Nat. Immunol. 6:1245.
  12. Sehrawat, S. et al. (2010) PloS Pathogens 6:e1000882.
  13. Nobumoto, A. et al. (2008) Glycobiology 18:735.
  14. Leal-Pinto, E. et al. (2002) Am. J. Physiol. Renal Physiol. 283:F150.

Alternate Names

Ecalectin, GAL9, Galectin9, LGALS9

Entrez Gene IDs

3965 (Human); 16859 (Mouse)

Gene Symbol

LGALS9

UniProt

Additional Galectin-9 Products

Product Documents for Human Galectin-9 Antibody

Certificate of Analysis

To download a Certificate of Analysis, please enter a lot number in the search box below.

Note: Certificate of Analysis not available for kit components.

Product Specific Notices for Human Galectin-9 Antibody

For research use only

Loading...
Loading...
Loading...
Loading...
Loading...
Loading...