Fumarase Antibody (OTI1F10) - Azide and BSA Free
Novus Biologicals, part of Bio-Techne | Catalog # NBP2-70733
Conjugate
Catalog #
Key Product Details
Species Reactivity
Human, Mouse, Rat, Canine
Applications
Immunohistochemistry, Immunohistochemistry-Paraffin, Western Blot, Flow Cytometry, Immunocytochemistry/ Immunofluorescence, CyTOF-ready
Label
Unconjugated
Antibody Source
Monoclonal Mouse IgG1 Clone # OTI1F10
Format
Azide and BSA Free
Concentration
LYOPH mg/ml
Product Specifications
Immunogen
Full length human recombinant protein of human FH (NP_000134) produced in HEK293T cell.
Reactivity Notes
Please note that this antibody is reactive to Mouse and derived from the same host, Mouse. Mouse-On-Mouse blocking reagent may be needed for IHC and ICC experiments to reduce high background signal. You can find these reagents under catalog numbers PK-2200-NB and MP-2400-NB. Please contact Technical Support if you have any questions.
Clonality
Monoclonal
Host
Mouse
Isotype
IgG1
Theoretical MW
50.2 kDa.
Disclaimer note: The observed molecular weight of the protein may vary from the listed predicted molecular weight due to post translational modifications, post translation cleavages, relative charges, and other experimental factors.
Disclaimer note: The observed molecular weight of the protein may vary from the listed predicted molecular weight due to post translational modifications, post translation cleavages, relative charges, and other experimental factors.
Description
Novus Biologicals Mouse Fumarase Antibody (OTI1F10) - Azide and BSA Free (NBP1-47754) is a monoclonal antibody validated for use in IHC, WB, Flow and ICC/IF. All Novus Biologicals antibodies are covered by our 100% guarantee.
Scientific Data Images for Fumarase Antibody (OTI1F10) - Azide and BSA Free
Western Blot: Fumarase Antibody (OTI1F10)Azide and BSA Free [NBP2-70733]
Western Blot: Fumarase Antibody (OTI1F10) - Azide and BSA Free [NBP2-70733] - HEK293T cells were transfected with the pCMV6-ENTRY control (Left lane) or pCMV6-ENTRY Fumarase (Right lane) cDNA for 48 hrs and lysed. Equivalent amounts of cell lysates (5 ug per lane) were separated by SDS-PAGE and immunoblotted with anti-Fumarase.Immunocytochemistry/ Immunofluorescence: Fumarase Antibody (OTI1F10) - Azide and BSA Free [NBP2-70733]
Immunocytochemistry/Immunofluorescence: Fumarase Antibody (OTI1F10) - Azide and BSA Free [NBP2-70733] - Staining of COS7 cells transiently transfected by pCMV6-ENTRY Fumarase.Immunohistochemistry: Fumarase Antibody (OTI1F10) - Azide and BSA Free [NBP2-70733]
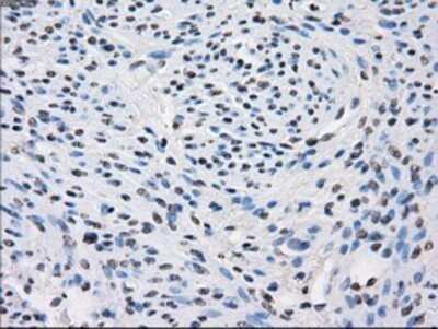
Immunohistochemistry: Fumarase Antibody (OTI1F10) - Azide and BSA Free [NBP2-70733] - Staining of paraffin-embedded Human endometrium tissue using anti-Fumarase mouse monoclonal antibody.Applications for Fumarase Antibody (OTI1F10) - Azide and BSA Free
Application
Recommended Usage
Flow Cytometry
1:100
Immunocytochemistry/ Immunofluorescence
1:100
Immunohistochemistry
1:50
Western Blot
1:1000
Formulation, Preparation, and Storage
Purification
Immunogen affinity purified
Reconstitution
we recommend adding 100uL distilled water to a final antibody concentration of about 1 mg/mL. To use this carrier-free antibody for conjugation experiment, we strongly recommend performing another round of desalting process.
Formulation
Lyophilized from PBS (pH 7.3) with 8% Trehalose
Format
Azide and BSA Free
Preservative
No Preservative
Concentration
LYOPH mg/ml
Shipping
The product is shipped with polar packs. Upon receipt, store it immediately at the temperature recommended below.
Stability & Storage
Store at -20C. Avoid freeze-thaw cycles.
Background: Fumarase
Alternate Names
EC 4.2.1.2, Fumarase, fumarate hydratase, fumarate hydratase, mitochondrial, HLRCC, LRCC, MCL, MCUL1
Gene Symbol
FH
Additional Fumarase Products
Product Documents for Fumarase Antibody (OTI1F10) - Azide and BSA Free
Product Specific Notices for Fumarase Antibody (OTI1F10) - Azide and BSA Free
This product is for research use only and is not approved for use in humans or in clinical diagnosis. Primary Antibodies are guaranteed for 1 year from date of receipt.
Loading...
Loading...
Loading...
Loading...
Loading...
Loading...