Skip to main content

cystatin 11 Antibody - BSA Free

Novus Biologicals, part of Bio-Techne | Catalog # NBP2-31559

Novus Biologicals, part of Bio-Techne
Catalog #
Availability
Size / Price
Qty
Loading...
NBP2-31559
NBP2-31559-25ul

Key Product Details

Validated by

Orthogonal Validation

Species Reactivity

Human

Applications

Immunohistochemistry, Immunohistochemistry-Paraffin

Label

Unconjugated

Antibody Source

Polyclonal Rabbit IgG

Format

BSA Free

Concentration

Concentrations vary lot to lot. See vial label for concentration. If unlisted please contact technical services.

Product Specifications

Immunogen

This antibody was developed against a recombinant protein corresponding to amino acids: YQARKKTFLSVHEVMAVENYAKDSLQWITDQYNKESDDKYHFRIFRV

Clonality

Polyclonal

Host

Rabbit

Isotype

IgG

Description

Novus Biologicals Rabbit cystatin 11 Antibody - BSA Free (NBP2-31559) is a polyclonal antibody validated for use in IHC. All Novus Biologicals antibodies are covered by our 100% guarantee.

Scientific Data Images for cystatin 11 Antibody - BSA Free

Immunohistochemistry-Paraffin: cystatin 11 Antibody [NBP2-31559]

Immunohistochemistry-Paraffin: cystatin 11 Antibody [NBP2-31559]

Immunohistochemistry-Paraffin: cystatin 11 Antibody [NBP2-31559] - Staining of human epididymis shows high expression.
Immunohistochemistry-Paraffin: cystatin 11 Antibody [NBP2-31559]

Immunohistochemistry-Paraffin: cystatin 11 Antibody [NBP2-31559]

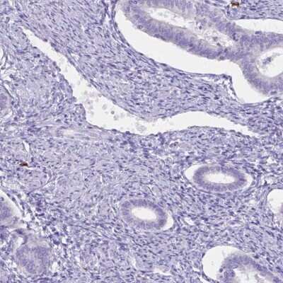
Immunohistochemistry-Paraffin: cystatin 11 Antibody [NBP2-31559] - Staining of human endometrium shows low expression as expected.
Immunohistochemistry-Paraffin: cystatin 11 Antibody [NBP2-31559]

Immunohistochemistry-Paraffin: cystatin 11 Antibody [NBP2-31559]

Immunohistochemistry-Paraffin: cystatin 11 Antibody [NBP2-31559] - Staining in human epididymis and endometrium tissues using anti-CST11 antibody. Corresponding CST11 RNA-seq data are presented for the same tissues.

Applications for cystatin 11 Antibody - BSA Free

Application
Recommended Usage

Immunohistochemistry

1:1000 - 1:2500

Immunohistochemistry-Paraffin

1:1000 - 1:2500
Application Notes
For IHC-Paraffin, HIER pH 6 retrieval is recommended.

Formulation, Preparation, and Storage

Purification

Immunogen affinity purified

Formulation

PBS (pH 7.2) and 40% Glycerol

Format

BSA Free

Preservative

0.02% Sodium Azide

Concentration

Concentrations vary lot to lot. See vial label for concentration. If unlisted please contact technical services.

Shipping

The product is shipped with polar packs. Upon receipt, store it immediately at the temperature recommended below.

Stability & Storage

Store at 4C short term. Aliquot and store at -20C long term. Avoid freeze-thaw cycles.

Background: cystatin 11

Alternate Names

CST11, CST8L, CTES2, Cystatin-11, Cystatin-Related Epididymal-Specific Protein, DJ322G13.6, SC13, SC13delta

Gene Symbol

CST11

UniProt

Additional cystatin 11 Products

Product Documents for cystatin 11 Antibody - BSA Free

Certificate of Analysis

To download a Certificate of Analysis, please enter a lot number in the search box below.

Product Specific Notices for cystatin 11 Antibody - BSA Free

This product is for research use only and is not approved for use in humans or in clinical diagnosis. Primary Antibodies are guaranteed for 1 year from date of receipt.

Loading...
Loading...
Loading...
Loading...