Skip to main content

CRCP Antibody (JE65-42)

Novus Biologicals, part of Bio-Techne | Catalog # NBP3-32218

Recombinant Monoclonal Antibody
Novus Biologicals, part of Bio-Techne
Catalog #
Availability
Size / Price
Qty
Loading...
NBP3-32218

Key Product Details

Species Reactivity

Human, Mouse

Applications

Immunocytochemistry/ Immunofluorescence, Immunohistochemistry, Immunohistochemistry-Paraffin, Western Blot

Label

Unconjugated

Antibody Source

Recombinant Monoclonal Rabbit IgG Clone # JE65-42 expressed in HEK293

Concentration

1 mg/ml

Product Specifications

Immunogen

Synthetic peptide within human CRCP aa 10-60/148. (Uniprot: O75575)

Localization

Cell membrane, Nucleus.

Clonality

Monoclonal

Host

Rabbit

Isotype

IgG

Theoretical MW

17 kDa.
Disclaimer note: The observed molecular weight of the protein may vary from the listed predicted molecular weight due to post translational modifications, post translation cleavages, relative charges, and other experimental factors.

Description

Novus Biologicals Rabbit CRCP Antibody (JE65-42) (NBP3-32218) is a recombinant monoclonal antibody validated for use in IHC, WB and ICC/IF. All Novus Biologicals antibodies are covered by our 100% guarantee.

Scientific Data Images for CRCP Antibody (JE65-42)

CRCP Antibody (JE65-42)

Western Blot: CRCP Antibody (JE65-42) [NBP3-32218]

Western Blot: CRCP Antibody (JE65-42) [NBP3-32218] - Western blot analysis of CRCP on MCF-7 cell lysates with Rabbit anti-CRCP antibody (NBP3-32218) at 1/500 dilution.

Lysates/proteins at 10 ug/Lane.

Predicted band size: 17 kDa
Observed band size: 17 kDa

Exposure time: 2 minutes;

15% SDS-PAGE gel.

Proteins were transferred to a PVDF membrane and blocked with 5% NFDM/TBST for 1 hour at room temperature. The primary antibody (NBP3-32218) at 1/500 dilution was used in 5% NFDM/TBST at room temperature for 2 hours. Goat Anti-Rabbit IgG - HRP Secondary Antibody at 1:300,000 dilution was used for 1 hour at room temperature.
CRCP Antibody (JE65-42)

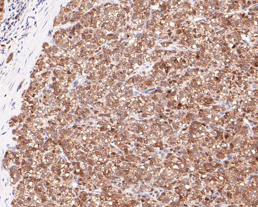
Immunohistochemistry: CRCP Antibody (JE65-42) [NBP3-32218]

Immunohistochemistry: CRCP Antibody (JE65-42) [NBP3-32218] - Immunohistochemical analysis of paraffin-embedded human liver carcinoma tissue with Rabbit anti-CRCP antibody (NBP3-32218) at 1/100 dilution.

The section was pre-treated using heat mediated antigen retrieval with sodium citrate buffer (pH 6.0) for 2 minutes. The tissues were blocked in 1% BSA for 20 minutes at room temperature, washed with ddH2O and PBS, and then probed with the primary antibody (NBP3-32218) at 1/100 dilution for 1 hour at room temperature. The detection was performed using an HRP conjugated compact polymer system. DAB was used as the chromogen. Tissues were counterstained with hematoxylin and mounted with DPX.
CRCP Antibody (JE65-42)

Immunocytochemistry/ Immunofluorescence: CRCP Antibody (JE65-42) [NBP3-32218]

Immunocytochemistry/ Immunofluorescence: CRCP Antibody (JE65-42) [NBP3-32218] - Immunocytochemistry analysis of SH-SY5Y cells labeling CRCP with Rabbit anti-CRCP antibody (NBP3-32218) at 1/200 dilution.

Cells were fixed in 4% paraformaldehyde for 10 minutes at 37 ℃, permeabilized with 0.05% Triton X-100 in PBS for 20 minutes, and then blocked with 2% negative goat serum for 30 minutes at room temperature. Cells were then incubated with Rabbit anti-CRCP antibody (NBP3-32218) at 1/200 dilution in 2% negative goat serum overnight at 4 ℃. Goat Anti-Rabbit IgG H&L (Alexa Fluor® 488) was used as the secondary antibody at 1/1,000 dilution. PBS instead of the primary antibody was used as the secondary antibody only control. Nuclear DNA was labelled in blue with DAPI.

Applications for CRCP Antibody (JE65-42)

Application
Recommended Usage

Immunocytochemistry/ Immunofluorescence

1:200

Immunohistochemistry-Paraffin

1:100

Western Blot

1:500

Formulation, Preparation, and Storage

Purification

Protein A purified

Formulation

1*TBS (pH7.4), 0.05% BSA and 40% Glycerol

Preservative

0.05% Sodium Azide

Concentration

1 mg/ml

Shipping

The product is shipped with polar packs. Upon receipt, store it immediately at the temperature recommended below.

Stability & Storage

Store at 4C short term. Aliquot and store at -20C long term. Avoid freeze-thaw cycles.

Background: CRCP

CRCP, also known as DNA-directed RNA polymerase III subunit RPC9, is a 17 kDa 148 amino acid protein with three shorter isoforms. The primary function of CRCP is to encode a protein which plays a role in increasing intracellular cAMP levels. CRCP is currently being studied in relation to cystic fibrosis, cryptorchidism, fibrosis, pancreatic cancer and pancreatitis. CRCP has been linked to the cellular localization, acrosome reaction, vasodilation, pathogenesis and parturition pathways where it interacts with POLD3, CHRAC1, VAV2, CALCRL and POLR3H.

Alternate Names

Calcitonin gene-related peptide-receptor component protein, CGRP receptor component, CGRPRCP, CGRP-RCPRNA polymerase III subunit C9, CGRP-receptor component protein, DNA-directed RNA polymerase III subunit RPC9, HsC17, RCP9, RCPMGC111194

Gene Symbol

CRCP

Additional CRCP Products

Product Documents for CRCP Antibody (JE65-42)

Certificate of Analysis

To download a Certificate of Analysis, please enter a lot number in the search box below.

Product Specific Notices for CRCP Antibody (JE65-42)

This product is for research use only and is not approved for use in humans or in clinical diagnosis. Primary Antibodies are guaranteed for 1 year from date of receipt.

Loading...
Loading...
Loading...
Loading...