Skip to main content

ARPC1A Antibody - BSA Free

Novus Biologicals, part of Bio-Techne | Catalog # NBP1-88851

Novus Biologicals, part of Bio-Techne
Catalog #
Availability
Size / Price
Qty
Loading...
NBP1-88851
NBP1-88851-25ul

Key Product Details

Validated by

Knockout/Knockdown

Species Reactivity

Validated:

Human

Cited:

Human

Predicted:

Mouse (98%). Backed by our 100% Guarantee.

Applications

Validated:

Immunohistochemistry, Immunohistochemistry-Paraffin, Western Blot, Immunocytochemistry/ Immunofluorescence, Knockdown Validated

Cited:

Western Blot, Immunocytochemistry/ Immunofluorescence

Label

Unconjugated

Antibody Source

Polyclonal Rabbit IgG

Format

BSA Free

Concentration

Concentrations vary lot to lot. See vial label for concentration. If unlisted please contact technical services.

Product Specifications

Immunogen

This antibody was developed against Recombinant Protein corresponding to amino acids: HGVSFSASGSRLAWVSHDSTVSVADASKSVQVSTLKTEFLPLLSVSFVSENSVVAAGHDCCPMLFNYDDRGCLTFVSKLDIPKQSIQRNMSAMERFRNMDKRATTEDRNTALETLHQNSITQVSIYEVDKQDCRKFCTTGI

Reactivity Notes

Rat (84%).

Clonality

Polyclonal

Host

Rabbit

Isotype

IgG

Theoretical MW

42 kDa.
Disclaimer note: The observed molecular weight of the protein may vary from the listed predicted molecular weight due to post translational modifications, post translation cleavages, relative charges, and other experimental factors.

Description

Novus Biologicals Rabbit ARPC1A Antibody - BSA Free (NBP1-88851) is a polyclonal antibody validated for use in IHC, WB and ICC/IF. Anti-ARPC1A Antibody: Cited in 1 publication. All Novus Biologicals antibodies are covered by our 100% guarantee.

Scientific Data Images for ARPC1A Antibody - BSA Free

Western Blot: ARPC1A Antibody [NBP1-88851]

Western Blot: ARPC1A Antibody [NBP1-88851]

Western Blot: ARPC1A Antibody [NBP1-88851] - Analysis in MCF-7 cells transfected with control siRNA, target specific siRNA probe #1, using anti-ARPC1A antibody. Remaining relative intensity is presented. Loading control: anti-PPIB.
Immunocytochemistry/ Immunofluorescence: ARPC1A Antibody [NBP1-88851]

Immunocytochemistry/ Immunofluorescence: ARPC1A Antibody [NBP1-88851]

Immunocytochemistry/Immunofluorescence: ARPC1A Antibody [NBP1-88851] - Immunofluorescent staining of human cell line MCF7 shows localization to cytosol & cell junctions. Antibody staining is shown in green.
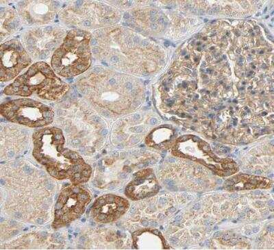
Immunohistochemistry-Paraffin: ARPC1A Antibody [NBP1-88851]

Immunohistochemistry-Paraffin: ARPC1A Antibody [NBP1-88851]

Immunohistochemistry-Paraffin: ARPC1A Antibody [NBP1-88851] - Staining of human kidney shows strong membranous and cytoplasmic positivity in cells in distal tubules.

Applications for ARPC1A Antibody - BSA Free

Application
Recommended Usage

Immunocytochemistry/ Immunofluorescence

0.25-2 ug/ml

Immunohistochemistry

1:200 - 1:500

Immunohistochemistry-Paraffin

1:200 - 1:500

Western Blot

0.04-0.4 ug/ml
Application Notes
For IHC-Paraffin, HIER pH 6 retrieval is recommended. ICC/IF, Fixation Permeabilization: Use PFA/Triton X-100.

Formulation, Preparation, and Storage

Purification

Immunogen affinity purified

Formulation

PBS (pH 7.2) and 40% Glycerol

Format

BSA Free

Preservative

0.02% Sodium Azide

Concentration

Concentrations vary lot to lot. See vial label for concentration. If unlisted please contact technical services.

Shipping

The product is shipped with polar packs. Upon receipt, store it immediately at the temperature recommended below.

Stability & Storage

Store at 4C short term. Aliquot and store at -20C long term. Avoid freeze-thaw cycles.

Background: ARPC1A

The ARPC1A gene encodes one of seven subunits of the human Arp2/3 protein complex. This subunit is a member of the SOP2 family of proteins and is most similar to the protein encoded by gene ARPC1B. The similarity between these two proteins suggests that they bo

Alternate Names

actin binding protein (Schizosaccharomyces pombe sop2-like), actin related protein 2/3 complex, subunit 1A (41 kD), actin related protein 2/3 complex, subunit 1A, 41kDa, actin-related protein 2/3 complex subunit 1A, SOP2Hs, SOP2LArc40, SOP2-like protein

Entrez Gene IDs

10552 (Human)

Gene Symbol

ARPC1A

UniProt

Additional ARPC1A Products

Product Documents for ARPC1A Antibody - BSA Free

Certificate of Analysis

To download a Certificate of Analysis, please enter a lot number in the search box below.

Product Specific Notices for ARPC1A Antibody - BSA Free

This product is for research use only and is not approved for use in humans or in clinical diagnosis. Primary Antibodies are guaranteed for 1 year from date of receipt.

Loading...
Loading...
Loading...
Loading...