Skip to main content

alpha 2-Macroglobulin Antibody (A2M/6556)

Novus Biologicals, part of Bio-Techne | Catalog # NBP3-20382

Novus Biologicals, part of Bio-Techne
Catalog #
Availability
Size / Price
Qty
Loading...
NBP3-20382-100ug
NBP3-20382-20ug

Key Product Details

Species Reactivity

Human

Applications

Immunohistochemistry-Paraffin

Label

Unconjugated

Antibody Source

Monoclonal Mouse IgG1 kappa Clone # A2M/6556

Concentration

0.2 mg/ml

Product Specifications

Immunogen

Human recombinant alpha 2-Macroglobulin protein fragment (around aa 604-748) (exact sequence is proprietary)

Localization

Secreted in plasma

Clonality

Monoclonal

Host

Mouse

Isotype

IgG1 kappa

Description

Positive Controls: Human liver or placenta tissues.

Antibody with azide - store at 2 to 8C. Antibody without azide - store at -20 to -80C. Non-hazardous. No MSDS required.

Scientific Data Images for alpha 2-Macroglobulin Antibody (A2M/6556)

alpha 2-Macroglobulin Antibody (A2M/6556)

alpha 2-Macroglobulin Antibody (A2M/6556)

Analysis of Protein Array containing more than 19,000 full-length human proteins using alpha 2-Macroglobulin Mouse Monoclonal Antibody (A2M/6556).
alpha 2-Macroglobulin Antibody (A2M/6556)

alpha 2-Macroglobulin Antibody (A2M/6556)

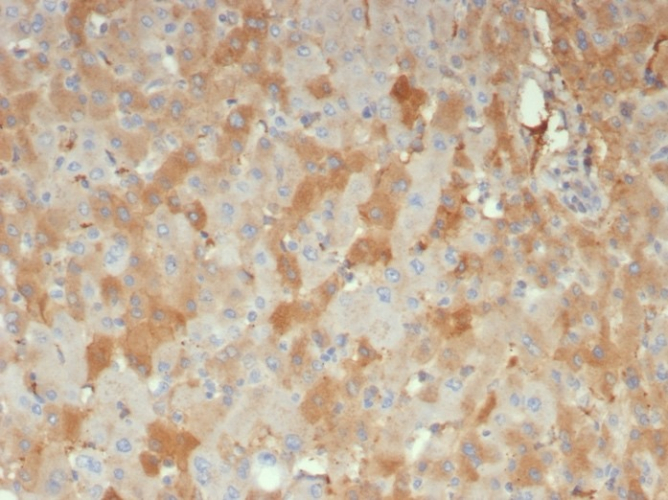
Formalin-fixed, paraffin-embedded human hepatocellular carcinoma stained with alpha 2-Macroglobulin antibody (A2M/6556). HIER: Tris/EDTA, pH9.0, 45min. Secondary: HRP-polymer, 30min. DAB, 5min.

Applications for alpha 2-Macroglobulin Antibody (A2M/6556)

Application
Recommended Usage

Immunohistochemistry-Paraffin

1-2 ug/ml
Application Notes
Immunohistochemistry (Formalin-fixed): 1-2ug/ml for 30 minutes. at RT. Staining of formalin-fixed tissues requires heating tissue sections in 10mM Tris with 1mM EDTA, pH 9.0, for 45 min at 95C followed by cooling at RT for 20 minutes.

Optimal dilution for a specific application should be determined.

Formulation, Preparation, and Storage

Purification

Protein A or G purified

Formulation

10mM PBS with 0.05% BSA

Preservative

0.05% Sodium Azide

Concentration

0.2 mg/ml

Shipping

The product is shipped with polar packs. Upon receipt, store it immediately at the temperature recommended below.

Stability & Storage

Store at 4C. Do not freeze.

Background: alpha 2-Macroglobulin

Alpha 2 macroglobulin is a serum protein which is mainly synthesised in the liver. It functions as a broad range irreversible proteinase inhibitor that forms a "trap" around most proteases. Alpha 2 macroglobulin is is a tetrameric molecule, and with a molecular weight of 720 kDa, it so large a molecule that it tends to remain intravascular. Following conformational change, the protinase is deposited within a central cavity where it is still active but prevented from further contact with its substrate. Removal of the complex is mediated by the generation of recognition sites which react with receptors on a variety of cells including macrophages and liver cells. Alpha 2 macroglobulin is localized on the surface of peripheral blood lymphocytes.

Alternate Names

A2M, alpha 2Macroglobulin, CPAMD5

Gene Symbol

A2M

UniProt

Additional alpha 2-Macroglobulin Products

Product Documents for alpha 2-Macroglobulin Antibody (A2M/6556)

Certificate of Analysis

To download a Certificate of Analysis, please enter a lot number in the search box below.

Product Specific Notices for alpha 2-Macroglobulin Antibody (A2M/6556)

This product is for research use only and is not approved for use in humans or in clinical diagnosis. Primary Antibodies are guaranteed for 1 year from date of receipt.

Loading...
Loading...
Loading...
Loading...